Week 16

Signalment Species

Species Canine
Breed Pug
Sex F/S
Age 8mo

Presenting Complaint

Owner noticed left hind limb lameness for one month duration.

Physical Examination

  • Pain on manipulation of coxofemoral joints.

Hematological Findings

  • Unremarkable

What are your initial radiographic impressions?

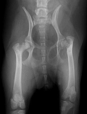
Radiograph of the Ventrodorsal view

Figure 1: Ventrodorsal view

Radiograph of the Right lateral view

Figure 2: Right lateral view

Additional Imaging

Interpretation