Week 23

Signalment Species

Species Fel
Breed Siam
Sex F/S
Age 7yr

Presenting Complaint

Three week history of dyspnea, collapse when stressed, anorexic, and lethargic.

Physical Examination

  • Pale mucous membranes
  • Dyspneic
  • Unkempt hair coat
  • Dehydrated
  • Emaciated

Hematological Findings

  • Bicarbonate - 153mg/dl (63-140mg/dl)k
  • Lymphocytes - 220/uL (2000-7000/uL)
  • Total T4 - 21.6nmol/L (10-45.5nmol/L)

What are your initial radiographic impressions?

Radiograph of the Right lateral view

Figure 1: Right lateral view

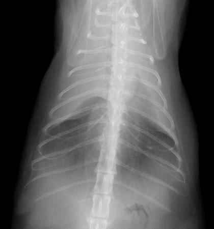
Radiograph of the Ventrodorsal view

Figure 2: Ventrodorsal view

Radiograph of the Dorsoventral view

Figure 3: Dorsoventral view

Radiograph of the Horizontal erect ventrodorsal view

Figure 4: Horizontal erect ventrodorsal view

Additional Imaging

Interpretation