December 2007

Signalment Species

Species Equine
Breed Quarterhorse
Sex Gelding
Age 3 year old

Presenting Complaint

  • three week history of lameness on the right front forelimb

History

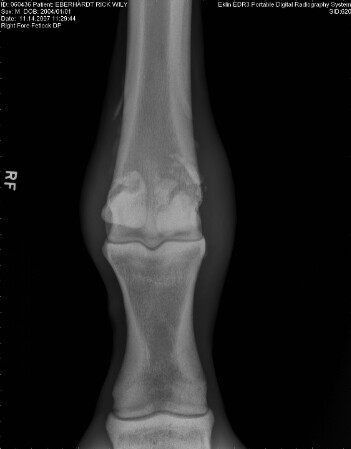
  • “Wily” Eberhart, 3 y/o Quarterhorse gelding presented with a three week history of lameness on the right front forelimb. There is a firm swelling present at the fetlock joint of the right forelimb. The horse was stall rested and given 1 gram of phenylbutazone daily for a three week duration.

Diagnostics Performed

  • On presentation, there was a high suspicion of a proximal sesamoidian fracture therefore radiographs were taken immediately.


Figure 1 - Lateral view


Figure 2 - Dorsal Palmer view

Interpretation